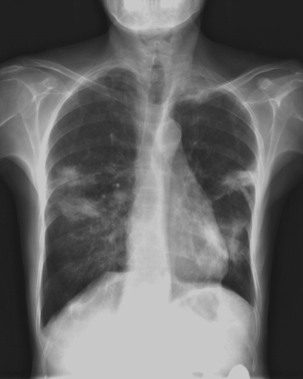
Bendita neumonía

Ayer visitamos la sala de urgencias del hospital infantil. Andaba yo en el coche, camino del lugar, entre un tráfico infernal, con mi niño detrás a 39,5 y subiendo y, sin exagerar, porque ya venimos conociéndonos las angustias maternales y yo y además porque lo de la abnegación nunca fue conmigo, sí debo admitir que el pellizco en el estómago y la falta de sonrisa me acompañó durante parte del trayecto. También anduvo por ahí el sentimiento de culpa por qué lo obligaría a comer yo ayer, no debí mandarlo al cole… y demás etcéteras. Me pregunté muchas cosas ayer noche, en ese hospital, viendo a Iván ya sin fiebre y diciendo con insistencia y energía repetitiva cuándo volvemos a casa, viendo pasar a la traqueotomizada, al hidrocefálico, al recién nacido-recién operado, oyendo los aullidos del pequeño de la consulta 2… y sobre todo viendo a sus madres y padres sin el derecho a derrumbarse ante la que es sin duda la situación más dura en la que la vida puede ponerte: ver sufrir a tu hijo/a.

Miro a Iván, le extiendo los brazos y le digo: ven con mamá. Y él viene, por su propio pie, sonriendo y feliz.

Es sólo un poco de tos.

Si vas a comentar debes saber que: si eres hombre tendrás menos posibilidades de que te lo publique y que si me insultas o hablas con tono paternalista o faltón no tendrás ninguna. No acepto opiniones, ni consejos, soy así de chula. Adiós.